AKCIJA ! TIK SPALIO MĖNESĮ CIRKONIO KERAMIKOS VAINIKĖLIS 299 EUR

Odontologijos paslaugos

Estetinis dantų plombavimas

„Estetinė odontologija" – tai saugiausias būdas, norint, kad Jūsų šypsena taptų nuostabi. Gydytojas odontologas, atliekantis estetinį plombavimą, sluoksnis po sluoksnio atkuria nesančius danties audinius. Estetinio plombavimo tikslas – išsaugoti dantis gyvybingus, nešlifuoti sveikų audinių, kad dantys atrodytų natūraliai skaidrūs, proporcingi, gyvybingi. Medžiagos, naudojamos restauracijoms, tvirtos, savo savybėmis artimos natūraliems danties audiniams: jos yra atsparios kramtymo raumenų jėgai ir savaiminiam dantų dilimui, besijungdamos su dantimi tokiu stiprumu kaip ir paties danties audiniai tarpusavyje, mažina karieso atsiradimo galimybę, poliruojami iki natūralaus emalio blizgesio, taip pat turi labai plačią atspalvių gamą.

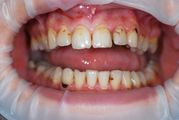
Estetinis plombavimas rekomenduojamas žmonėms, kurių dantys yra pažeisti ėduonies, pakeitę spalvą, nudilę, netaisyklingai sudygę ar patyrusiems dantų traumą, kurios metu dantys įskilo, nuskilo ir pan. Kai pažeidimas yra giliai po dantenomis, pažeista danties šaknis, beveik nelikę danties vainiko audinių - tokiais atvejais siūlome estetinį protezavimą.

Estetiškai plombuojant krūminius dantis, atkuriami kramtomajame paviršiuje esantys kauburėliai, kurie yra ypatingai svarbūs kramtymo efektyvumui, sukandimo aukščiui išlaikyti, o taip pat dantims nuo savaiminio nudilimo apsaugoti.

Estetinis plombavimas - tai galimybė patikimai ir funkcionaliai atkurti prarastus danties audinius. Vieno vizito pas gydytoją metu galima restauruoti 4-6 dantis. Todėl jau po pirmojo apsilankymo Jūs akivaizdžiai pasikeisite.

Prieš estetinį plombavimą būtina atlikti profesionalią burnos ertmės higieną, kurios tikslas – pašalinti minkštąjį ir kietąjį dantų apnašą (akmenis), stabdyti karieso, dantenų ir periodonto ligų atsiradimą, atgaivinti burnos ertmę.

Atlikus nuskausminimą, procedūra nesukels diskomforto. Jos metu taikoma tausojanti preparavimo technika: pašalinami pažeisti ir demineralizuoti danties audiniai. Siekiant užtikrinti restauracijos ilgaamžiškumą ir kokybę, estetinio plombavimo metu naudojama drėgmei nelaidi guma, tokiu būdu gydomo danties darbo laukas apsaugomas nuo seilių, dantenų sekreto, kvėpuojant susidarančių garų ir kt.

Kiek trunka procedūra?

Procedūros trukmė priklauso nuo atkuriamų dantų skaičiaus, darbo sudėtingumo ir komplikuotumo. Jeigu reikia restauruoti 4-6 dantis, procedūra gali užtrukti 5-7 valandas.

Atlikus priekinių dantų restauraciją, būtina kontrolinė apžiūra po 2 - 4 savaičių. Jos metu įvertinamas estetinio plombavimo rezultatas - spalva, plombinės medžiagos sukibimas, gleivinės būklė ir kt. Apžiūros metu gydytojas odontologas, atsižvelgdamas į Jūsų pastabas, gali pasiūlyti atlikti korekciją. Jūs galite jaustis neįprastai, gali neaiškiai tartis kai kurie garsai (ypač jei buvo uždaromi tarpai, tiesinama dantų padėtis ar atliekama kita sudėtinga restauracija).

Plombuotų dantų spalva gali būti netolygi: plombuojant dantys izoliuojami drėgmei nelaidžia guma, todėl darbo metu jie išdžiūsta ir pastebimas spalvos skirtumas.
Tačiau per keletą dienų dantys vėl prisigeria drėgmės ir spalva atsistato.

Po estetino plombavimo gali jaustis dantenų maudimas, atsirasti paraudimas, nežymus kraujavimas valant, gali būti dantų jautrumas. Adaptacinis periodas gali užtrukti iki dviejų savaičių, kai kuriais atvejais ir ilgiau. Plombavimo dieną nerekomenduojama vartoti dažančių maisto produktų (raudono vyno, mėlynių, burokėlių ir pan.).

Kaip prižiūrėti estetiškai plombuotus dantis?

Įprastas dantų valymas šepetėliu ir pasta, tarpdančių valymas higieniniu siūlu. Nepatartina naudoti kieto dantų šepetėlio ir pastų turinčių stipresnių ambrazyvinių medžiagų (t. y. balinamųjų ar su mikrogranulėmis), nes taip greičiau suardomas nupoliruotas plombuoto danties paviršius, nelieka blizgesio. Rekomenduojame kas pusę metų atlikti profesionalią burnos ertmės higieną, taip pat estetiškai plombuotų dantų poliravimą (t. y. atnaujinti paviršiaus blizgesį).

Restauracijos ilgaamžiškumas

Bet kuris pasirinktas restauracijos būdas turi savo tarnavimo laiką (neteisinga būtų manyti, kad dantis sutaisomas visam gyvenimui).
Estetinis plombavimas gali tarnauti 8 - 10 metų ir ilgiau. Tačiau restauracijos ilgaamžiškumas priklauso ir nuo paties žmogaus pastangų - teisingos dantų priežiūros. Būtina kas pusę metų atlikti profesionalią burnos ertmės higieną bei restauruotų dantų poliravimą.
Gera individuali burnos higiena, taisyklingas dantų valymas pasta ir šepetėliu, tarpdančių valymas higieniniu siūlu užtikrins restauracijos ilgaamžiškumą.

Prieš / po

Prieš / po

Prieš / po

Prieš / po

Prieš / po

Terapinis dantų plombavimas

Dantų plombavimas – odontologo kabinete dažniausiai atliekama gydomoji procedūra. Tai danties funkcijos ir estetikos atstatymas naudojant įvairias plombines medžiagas. Paprastai tariant, tai skylučių (karieso, kitaip – ėduonies) gydymas išvalant šias grąžteliu ir užpildant jas plombavimo medžiaga.

Kokios plombinės medžiagos dažniausiai naudojamos?

Šviesoje kietėjantis kompozitas (populiariai vadinamas helio plomba), stiklo jonomerinės plombos (jomis plombuojami pieniniai dantys).

Kokia gydymo eiga?

Gydymas, priklausomai nuo situacijos sudėtingumo, gali užtrukti nuo 10 min. iki kelių valandų. Prieš gydymą dantis paprastai nujautrinamas naudojant vietinius anestetikus. Kai dantis visiškai nuskausmintas, jis išvalomas grąžteliu ir paruošiamas plombavimui. Paskui naudojant pasirinktą plombinę medžiagą atkuriama danties struktūra.

Kada reikia plombavimo?

Plombuoti dantį reikia tada, kai atsiranda danties pažeidimas – ėduonis, kitaip – kariesas. Tarpdančių pažeidimai dažniausiai pastebimi tik atlikus rentgeno nuotraukas. Taip pat derėtų žinoti, kad anaiptol ne visi dantų patamsėjimai – tai ėduonis, kurį reikėtų valyti ir plombuoti. Dantys plombuojami ir tada, kai siekiama suteikti patrauklesnę formą nusidėvėjusiems ar nevisavertiškai išsivysčiusiems dantims. Toks plombavimas vadinamas estetiniu plombavimu.

Ar galima valgyti po plombavimo?

Šviesoje kietėjantis kompozitas sukietinamas iš karto. Atliekant procedūrą, dažnai nujautrinamas žandas ar lūpos. Kol aptirpimas nepraeina, nerekomenduojama kramtyti maisto, kad netyčia neįsikąstumėte.

Kiek metų plombos tarnauja?

Tiksliai nuspėti, kiek ilgai tarnaus plomba, neįmanoma. Tai priklauso nuo daugelio priežasčių: paciento burnos higienos įgūdžių, skylutės dydžio, gydytojo įgūdžių, pasirinktos medžiagos, dietos ir pan. Vidutiniškai šviesoje kietėjantis kompozitas turėtų tarnauti 7–8 metus. Kas nutinka plombai po 7–8 metų? Laikui bėgant, plomba dėvisi. Pastebėjus pralaidumą (mikroskopinį plyšį) tarp danties ir plombos, rekomenduojama plombą pakeisti.

Dantų šaknų kanalų gydymas

Kodėl reikia gydyti kanalus?

Dantų šaknų kanalų gydymo tikslas - pašalinti infekcinį procesą šaknies kanale ir apsaugoti aplinkinius audinius nuo infekcijos.

Kaip atsiranda infekcija?

Danties kanalas infekuojamas, kai į jį kokiu nors būdu patenka mikroorganizmai. Priežastys gali būti įvairios: laiku nediagnozuotas ir negydytas dantų kariesas, dantų įskilimai, traumos ir kt.

Mikroorganizmai (bakterijos), prasiskverbę į danties minkštuosius audinius, sukelia uždegimą danties vidinėje ertmėje - pulpoje (pažeidimas vadinamas pulpitu).
Dėl to atsiranda danties skausmas, jautrumas. Negydant šis uždegimas išplinta - bakterijos patenka į aplinkinius audinius per šaknies viršūnę ir sukelia aplinkinių audinių uždegimą (periodontitą). Ilgainiui tirpsta žandikaulio kaulas apie infekuoto danties šaknies viršūnę, formuojasi židiniai. Negydant gresia dar sudėtingesnės komplikacijos.

Kaip gydoma?

Gydymo metu atliekamas cheminis ir mechaninis kanalo valymas instrumentais - pašalinami įvairūs organiniai nešvarumai (bakterijos ir nekrotiniai pulpos audiniai) ar seni plombinių medžiagų likučiai (jeigu kanalas buvo prieš tai nekokybiškai užplombuotas).

Dantų šaknies kanalą siekiama ne tik gerai išvalyti, bet ir išplatinti, suformuoti ir kokybiškai užplombuoti. Hermetiškai užplombavus kanalą nuo vainikinės dalies iki šaknies viršūnės, užblokuojama makro ir mikrokanalų sistema, užkertamas kelias infekcijai iš kanalo patekti į viršūninį periodontą. Taip uždegimas neplinta į kitus audinius. Dantų gydymo eigą būtina stebėti rentgeno sistema. Gali būti padaromas 3 - 8 radiogramos. Mūsų odontologijos klinikoje naudojama skaitmeninė rentgeno sistema, kurios spinduliavimo dozė už įprasto rentgeno aparato mažesnė iki 10 kartų. (Darbo metu klinikoje naudojamas mikroskopas - tai leidžia turėti padidintą ir idealiai apšviestą darbo lauką. Mikroskopas būtinas gydant sklerozuotus kanalus, atliekant dantų šaknų kanalų pergydimus, šalinant iš kanalų lūžgalius, kaiščius, diagnozuojant ir gydant perforaciją ir kt.)

Endodontinio gydymo prognozė

Visiškai garantuoti endodontinio gydymo sėkmės negalima, nors gydymas buvo atliktas tinkamai ir iki galo, laikantis visų endodontiniam gydymui keliamų reikalavimų. Remiantis mokslinių studijų rezultatais, pateikiami tokie duomenys: pirminio endodontinio gydymo sėkminga baigtis siekia 75 - 95%, o pergydimo atvejais sėkmė 40 - 70%.

Dantų ir implantų protezavimas

Dantų protezavimo tikslas - atkurti trūkstamus dantis, pagerinti esamą dantų būklę, gražinti kramtymo efektyvumą bei atkurti estetinį vaizdą.

Kokie gali būti dantų protezai?

Šiuolaikinės technologijos leidžia pagaminti protezus, atitinkančius aukščiausius estetinius ir funkcinius reikalavimus.
Dantų protezų yra įvairių rūšių:

  • Neišimamos konstrukcijos (vainikėliai, laminatės, užklotų - įklotų sistema, tiltai)
  • Išimamos konstrukcijos (lanko atraminiai protezai su įvairia fiksavimo sistema, plokštelės, apsauginiai protezai). Šiuolaikinė odontologija gali pasiūlyti labai daug protezavimo būdų.

Kaip sužinoti, kuris protezavimo būdas man tinkamiausias?

Tam reikalinga odontologo ortopedo konsultacija, kurios metu Jums ir bus pasiūlytas geriausiai tinkantis protezavimo būdas, sudaromas gydymo planas, supažindinama su gydymo etapais, terminais, kainomis.

Kuo skiriasi protezavimas metalokeramika ir bemetalė keramika (protezavimas nenaudojant metalo)?

Naudojant metalokeramiką (metalinė šerdis padengta porcelianu), įmanoma visiškai atkurti danties formą ir funkcijas, tačiau protezuotas dantis skiriasi nuo natūralių dantų, nes yra neskaidrus - t. y. nelaidus šviesai (kuo ryškesnis apšvietimas, tuo aiškesnis skirtumas) be to, prie dantenų po tam tikro laiko gali matytis patamsėjusi „juodoji linija".

Bemetalė keramika leidžia išvengti šių kosmetinių skirtumų, nes danties viduje vietoj metalo dedamas cirkonio arba aliuminio oksidas. Tai labai tvirtos medžiagos ir gali būti naudojamos visoms dantų grupėms atstatyti. Bemetalė keramika yra skaidri, laidi šviesai, kaip ir tikrieji danties audiniai, todėl įmanoma atkurti tiek formą, tiek funkcijas, tiek ir estetinį vaizdą. Iš šių medžiagų pagaminti vainikėliai gerai toleruojami organizmo, todėl nesukelia jokių alerginių reakcijų, dantenos išlieka be pakitimų.

Ką pasirinkti - tiltą ar danties implantą?

Įvertinęs burnos ertmės ir esamų dantų būklę, tinkamiausią sprendimą Jums pasiūlys gydytojas odontologas ortopedas konsultacijos metu. Siekiant nepažeisti greta esančių dantų audinių, norint išsaugoti žandikaulio kaulą, pirmenybė teikiama dantų implantams.

Kiek užtrunka dantų protezavimas?

Odontologijos klinikoje visas protezavimo procesas nuo pirmo iki paskutinio vizito (gydymas atliekamas etapais) gali užtrukti nuo 2 savaičių iki 1,5-2 mėnesio, o kai kuriais atvejais ir ilgiau. Kad išvengtumėte diskomforto, yra pagaminami laikini protezai, kurie tarnauja žmogui tol, kol pagaminamas nuolatinis parinktos konstrukcijos protezas. Stengiamasi, kad laikino protezavimo etapas būtų kiek įmanoma trumpesnis ir patogesnis.

Kaip prižiūrėti protezus?

Neišimami protezai prižiūrimi kaip ir sveiki dantys: protezus reikia valyti dantų šepetėliu ir pasta, naudoti skalavimo skysčius, įprastus bei skirtus tiltams valyti tarpdančių siūlus.

Žmonės, nešiojantys išimamuosius dantų protezus (plokšteles), taip pat privalo rūpintis burnos higiena. Protezą reikia plauti kasdien po kiekvieno valgio, bent kartą per savaitę būtina dezinfekuoti specialiomis dantų priežiūros priemonėmis - tai protezus valančios ir blogą burnos kvapą naikinančios tabletės. Jose yra daug veikliojo deguonies, todėl dantenų protezai nuvalomi gerai ir greitai.

Dantų implantai

Kas yra dantų implantai?


Dantų implantas – tai metalinis sraigtas, sriegiamas toje žandikaulio vietoje, kur buvo nuosavo danties šaknis. Praėjus 3-6 mėnesiams po implanto įsriegimo, jis apauga kaulu ir tampa tvirta atrama, ant kurios tvirtinamas danties protezas.

Implantai gaminami iš žmogui tinkamiausio metalo – titano. Dantų implantai greitai prigyja, nesukelia organizmo atmetimo reakcijos. Svarbu atminti, kad implantai gali būti sujungti kartu ir turėti tarpines dalis, tad nebūtina į žandikaulį sriegti tiek implantų, kiek dantų trūksta.


Implantacija – efektyvus prarastų dantų atstatymas


Yra daugybė būdų, kaip atstatyti prarastus dantis, tačiau dažniausiai implantacija yra efektyviausias ir patikimiausias pasirinkimas. Implantas funkcionuoja kaip natūralus dantis: Jūs jo nejaučiate ir neprivalote saugoti labiau nei natūralaus savo danties. Tai puiki išeitis tiems, kurie dėl traumos, periodontito ar kitų priežasčių yra netekę vieno ar kelių dantų. Itin dažnai implantai yra vienintelis logiškas ir efektyvus pasirinkimas, norint susigrąžinti funkcionalumą ir kaulo struktūra. Pats dantis yra atkuriamas protezavimo metu.


Implantų privalumai ir trūkumai


Privalumai:

  • Implantuoti dantys funkcionuoja geriau nei kitos įprastos protezavimo priemonės (tiltinis ar išimamas dantų protezas).
  • Implantai nesukelia jokio pavojaus kitiems, natūraliems Jūsų dantims. Priešingai – jie ne tik papildomai neapkrauna sveikų dantų, tačiau neleidžia jiems pasislinkti į tą pusę, kurioje trūksta dantų.
  • Sustabdomas kaulo tirpimas.

Trūkumai:

  • Vieno implanto gali nepakakti norimam geriausiam rezultatui pasiekti, o tai jau gana didelė investicija.
  • Implantavimo procedūra yra ilgalaikis procesas, galintis trukti iki 9 mėnesių (įskaičiuojant protezavimo ir gijimo etapus).
  • Implantavimas – chirurginė procedūra, kuriai būdingi tipiniai operacijų simptomai: skausmas ar patinimas, kurie gali tęstis keletą dienų.

Dantų implantacijos etapai


Dantų implantacija – ilga ir kompleksiška procedūra.
Pirmasis etapas yra konsultacija. Gydytojas apžiūri pacientą bei pateikia savo vertinimą. Atsižvelgiant į situaciją ir paciento poreikius, sudaromas gydymo planas.
Antrasis etapas yra žandikaulio parengimas implantacijai. Tais atvejais, kuomet pacientas yra netekęs vieno ar kelių dantų ilgesnį laiką, kaulas, negaudamas įprasto krūvio, toje vietoje ima tirpti. Tuomet yra būtinas kaulo priauginimas (augmentacija). Šią procedūrą atlieka gydytojas, naudodamas specialias priemones.
Trečiasis etapas yra implanto įsodinimas į žandikaulį: titano lydinio varžto formos implantas įsukamas į kaulą ir paliekamas prigyti (trukmė 3–6 mėnesiai).
Ketvirtasis etapas yra protezavimas. Gydytojas odontologas ant implanto, kuris atstoja danties šaknį, pritvirtina danties formos vainikėlį ar vainikėlių tiltinį protezą, kuris ir yra naujasis Jūsų dantis.

Dantų protezų gamyba (laboratorija)

Laboratorija dirba su žymių gamintojų - IVOCLAR, BREDENT, VERTEX, HERAEUS – KULZER, RENFERT ir kt. medžiagomis. Gaminami įvairių konstrukcijų dantų
protezai:

  • metalo keramika;
  • bemetalė keramika;
  • cirkonio oksido keramika;
  • lanko atr. protezai;
  • sąkandžio kėlimo kapos, balinimo kapos;
  • plokštelės;
  • protezai ant implantų;
  • laikini vainikėliai.

Laboratorija bendradarbiauja ir atlieka darbus ir kitoms klinikoms ir odontologiniams kabinetams, esantiems ne tik Šiaulių mieste. Dantų technikų laboratorija aprūpinta žymių Vokietijos firmų „Ivoclar“, „KaVo EWL“, „Dentaurum“ ir kt.

Aukščiausią dantų technikos laboratorijos gaminių kokybę įrodo ir tai, kad visi dantų protezai, pagaminti čia, atitinka Europos Tarybos medicininių prietaisų direktyvą 93/42EEB ir Lietuvos medicinos normą MN4: 20019 „Medicinos prietaisų saugos techninis reglamentas“. Visi gaminami dantų protezai registruoti Valstybinėje akreditavimo sveikatos priežiūros veiklai tarnyboje prie Sveikatos apsaugos ministerijos. Be to, visiems savo gaminiams dantų technikos laboratorija suteikia garantiją.

Profesionali burnos higiena

Gera burnos higiena – pagrindinis dantų ėduonies ir apydančio ligų profilaktikos priemonė. Vienos iš svarbesnių karieso atsiradimo priežasčių yra dantų apnašos
ir jose esantys mikroorganizmai. Nemalonus kvapas iš burnos, nesveiki bei paslankūs dantys dažniausiai būna sergant priedančio ligomis (gingivitu, periodontitu), esant kariesui. Dantų paviršius per dieną pasidengia maisto likučių, nusilupusių burnos gleivinės viršutinio epitelinio sluoksnio ląstelių ir mikrobų mišiniu, kuris sudaro balkšvai pilkos spalvos, sunkiai matomas danties minkštąsias apnašas. Kadangi dantų šepetėliu ne visuomet pavyksta garai išsivalyti visus dantų paviršius, apnašų, esančių keletą parų ant dantų paviršiaus, mikroorganizmai išskiria toksinus, kurie sukelia dantenų pakitimus, o vėliau ir uždegimus. Nepašalintos apnašos mineralizuojasi ir susidaro dantų akmenys, kurie trukdo natūraliai valytis burnai, sulaiko bakterijas, taip pat sudaromos sąlygos nuolatiniam uždegimui. Nepašalinus
priežasčių, uždegimas progresuoja, pažeisdamas dantenų kišenes, tirpsta kaulas, dantys tampa paslankūs, o vėliau žmogus juos praranda.

Ankstyvoji dantenų pažeidimo stadija – gingivitas. Šia liga sergant, dantenos būna paraudusios, patinę, kraujuoja valant dantis. Šioje stadijoje esanti liga yra gydoma ir išgydoma, teisingai pradėjus taikyti individualias ir profesionalias burnos higienos procedūras. Labiau išplitusi dantenų liga – periodontitas, kurio pasėkmės, tai paslankūs dantys, kaulo pažeidimai, dantų praradimas. Užsitęsusio periodontito gydymas ilgas ir sudėtingas, reikalaujantis daug išlaidų.

Norint užkirsti kelią minėtoms dantų ir dantenų ligoms, būtina atlikti profesionalią burnos ertmės higieną, kurios tikslas – pašalinti minkštąjį ir kietąjį dantų apnašą (akmenis), stabdyti karieso, dantenų ir periodonto ligų atsiradimą, atgaivinti burnos ertmę. Odontologijos klinikoje procedūrą atlieka gydytojas odontologas arba burnos higienistas. Jei pageidaujate, valomi dantys prieš procedūrą gali būti nuskausminami. Profesionalios burnos ertmės higienos metu akmenys nuvalomi ultragarsiniu skaleriu, kietasis ir minkštasis apnašas – naujausiu metodu „Air Flow“ sistema. Tai puikus ir neskausmingas būdas nuvalyti tabako, kavos bei arbatos apnašoms.  „Air Flow“ - stipri oro, vandens ir sodos miltelių srovė greitai nuvalo susikaupusiais dantų apnašas net ir sunkiai prieinamose vietose. Po profesionalios burnos higienos džiaugsitės komforto ir švaros pojūčiu burnoje.

Profesionalios burnos higienos procedūros atliekamos vieno ar kelių vizitų metu, priklausomai nuo apnašo kiekio ir įsisenėjimo. Ši procedūra turėtų būti atliekama 1-4 kartus per metus, nes nuolatinė dantų priežiūra padeda išvengti odontologinių ligų sukeltų problemų.